Did Cheong et al. show acute Pulmonary Embolism (lung clotting) following the mRNA technology based (underpinning) Kariko, Weissman et al. Moderna mRNA-1273 COVID gene injection vaccine? Yes! 100%
These Pfizer and Moderna vaccine makers, this Bourla and Bancel, these CEOs like Uğur Şahin must be investigated thoroughly, they must be in proper legal forums & held accountable of they caused death
Vaccine-induced immune thrombotic thrombocytopenia (VITT) is a real pressing issue with the COVID mRNA vaccine (as well as DNA platform initially).
SOURCE:
https://www.ncbi.nlm.nih.gov/pmc/articles/PMC9295046/
COVID mRNA technology vaccine safety remains an elusive issue and we are seeing today what happens when you bring a vaccine that is not safety tested, with the right clinical research, proper duration studies, proper primary end-points, proper sample sizes, proper outcome number, proepr methods etc. Just meant to deceive and Pfizer and Moderna are gulity of this.
'Thromboembolism is one such safety concern ‘with these vaccines, especially adenovirus (AstraZeneca) vaccines…mRNA vaccines have also been associated with the risk of thromboembolism, especially in East Asian populations.’ Here is a previously ‘asymptomatic patient who presented with acute pulmonary embolism shortly after receiving the Moderna mRNA-1273 SARS-CoV-2 vaccine.’
CASE
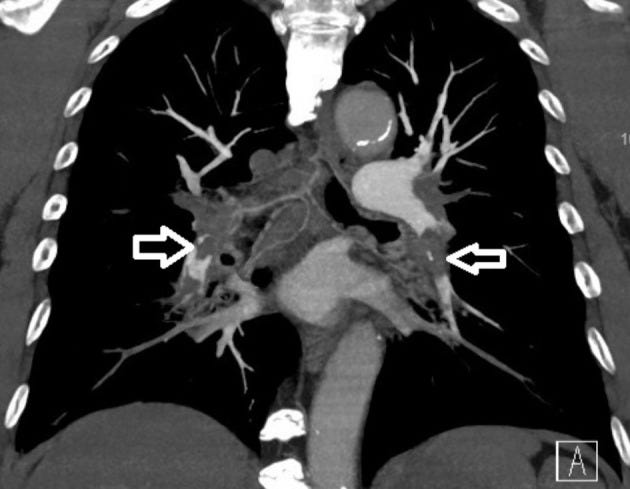
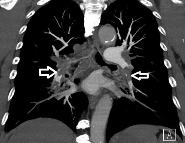
‘This case was a 70-year-old East Asian male, a current smoker, with a past medical history of hypertension and an old cerebrovascular accident, with independent activities of daily living. He received the first dose of the mRNA technology based Moderna mRNA-1273 vaccine 5 weeks prior to this episode.’ The patient presented to emergency department with ‘progressive shortness of breath for 5 days. A physical examination revealed blood pressure of 120/70 mmHg, heartbeat of 102 beats per min, and SpO2 around 90%. Resting 12-lead electrocardiography revealed sinus tachycardia and a typical S1Q3T3 pattern. Laboratory data showed normal platelet count, hemoglobin and fibrinogen levels. A SARS-CoV-2 polymerase chain reaction was negative. The D-dimer level was 4895 ng/mL, and chest computed tomography angiography showed bilateral saddle pulmonary embolism (Figure 1).
Bilateral pulmonary embolism noted on computed tomography angiography (white open arrows).
To further survey the pulmonary embolism, we conducted examinations in order to verify the possible etiology, including autoimmune disease markers (including antinuclear antibody, C3, C4, lupus anticoagulant, anticardiolipin immunoglobulin), tumor markers (including CEA, alpha-fetal protein, CA199, and PSA), coagulant function tests (including protein C function, antithrombin III, prothrombin time, partial thromboplastin time), all of which were within normal limits. Protein S function was 25.4% (normal value 62.6-150.4%) and the anti-platelet factor 4 (PF4) antibody titer was 50.01 ng/ml (cutoff value of 50 ng/ml) with an optical density of 0.424 units (weakly positive, cutoff value of 0.4 units). Left popliteal vein thrombosis was found by peripheral Doppler sonography (Figure 2).
Peripheral Doppler revealed probable thrombus with partial occlusion at the right popliteal vein (white open arrow).
He was initially treated with low molecular weight heparin (enoxaparin sodium) for the first 3 days, and direct oral anticoagulants (dabigatran 110 mg twice daily) was added thereafter because vaccine-induced immune thrombotic thrombocytopenia (VITT) was highly suspected. The symptoms gradually improved, and he was discharged 7 days later uneventfully. He is still asymptomatic 3 months after the episode with regular follow-up at the outpatient department and direct oral anticoagulant treatment.
DISCUSSION
In this report, a previously healthy East Asian patient without known risk factors for thromboembolic disorder presented with acute pulmonary embolism 5 weeks after receiving the Moderna mRNA-1273 vaccine. After a series of studies, we found that the possible etiology for left popliteal deep vein thrombosis and bilateral pulmonary embolism was VITT, which was confirmed by weakly positive anti-PF4 antibodies and protein S deficiency.
In previous reports of thromboembolic events after mRNA vaccines, a large self-controlled case series study in England reported increased risks of both hematological and thromboembolic events within 2 to 3 weeks after ChAdOx1 nCoV-19 and BNT162b2 mRNA vaccines.1 Venous thromboembolism has seldom been reported with the BNT162b2 mRNA vaccine. Moreover, these risks are much lower compared to those with SARS-CoV-2 infection based on a recent meta-analysis.2 However, in our case, acute pulmonary embolism developed more than 5 weeks after vaccination. A possible explanation is the thromboembolism originated from left popliteal vein thrombosis initially after vaccination, and then the thrombus gradually migrated into bilateral pulmonary trunk 2 to 3 weeks later.
The most common mechanism of VITT is a heparin-induced thrombocytopenia-like pathway related to anti-PF4 antibodies. This mechanism has also been reported in adenovirus vector and RNA vaccines,3,4 however it has also been reported in mRNA vaccines.5 The mechanism by which the immune response after vaccination leads to the formation of anti-PF4 antibodies is poorly understood. A recently published case series showed no strong correlations between the levels of PF4-heparin antibodies and anti-SARS-CoV-2 IgG antibodies. In addition, no significant difference in the level of anti-SARS-CoV-2 IgG antibodies has been found between patients with and without thrombus formation.6
It is currently unclear how long pathogenic anti-PF4 antibodies persist. In a study involving 35 patients with serologically confirmed VITT, levels of anti-PF4 antibodies were found to gradually decline but could exist for more than 12 weeks in some cases.7 In our case, the level of anti-PF4 antibodies was only weakly elevated at the diagnosis of pulmonary embolism, which may be related to a decline in anti-PF4 antibodies due to the time interval from vaccination (5 weeks).
Interestingly, one case report reported a relationship between vaccination and autoimmune disorders, in which positive antiphospholipid antibodies and lupus anticoagulants were demonstrated.8 A similar phenomenon has been observed in patients with COVID-19 infection.9 Nevertheless, in our patient, protein S deficiency was observed with normal antiphospholipid antibodies and lupus anticoagulants. This has never been reported in other studies, and the relationship between protein S and COVID-19 vaccine is unknown. We hypothesize that a COVID-19 vaccine may be the trigger for thrombosis in a patient with protein S deficiency.
For patients with vaccine-induced thrombosis, the use of direct oral anticoagulants has been recommended in order to avoid initial heparin therapy which may aggravate VITT. The administration of high-dose intravenous immunoglobulin or dexamethasone may also be helpful.10 We immediately switched enoxaparin sodium to dabigatran in our case after excluding other etiologies. However, the duration of anticoagulant therapy is not well understood. Whether it should be treated as unprovoked pulmonary embolism is still under debate, and further studies are needed to guide treatment.’




My mother 86, never in nursing home but because of falls was placed for 30 days for strengthening and then COVID happened. She received the injection and 48 hours later, heart attack, clots, her filter filled with clots. She died! Was to be home the next day!
AI Turns WiFi Routers Into Camera To Detect and Trace human Body
⬇️
https://www.latestly.com/socially/technology/ai-turns-wifi-routers-into-camera-to-detect-and-trace-human-body-5238671.html#:~:text=38%20AM%20IST-,Researchers%20have%20developed%20a%20remarkable