Did recent Tokyo study (Suzuki) of autopsies (cases in which deaths occurred within seven days after COVID mRNA vaccination in Tokyo, n=54) show an association between mRNA technology shots & deaths?
Yes! Again, the Malone, Kariko, Weissman et al. mRNA technology based gene injections are linked to deaths post shot! Autopsies are critical & as they are done, they are linking the vaccine to deaths
SOURCE:
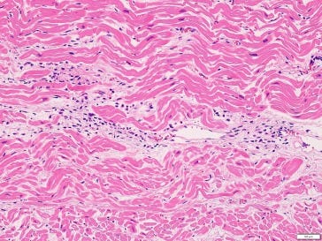
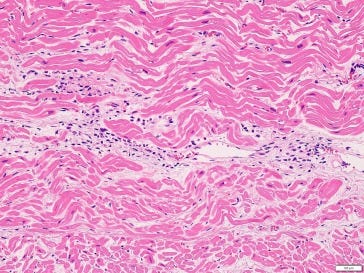
‘In the assessment of adverse events, myocarditis was found to be the cause of death in two cases (cases 40, 54) (Fig. 1,Fig. 2.), and causal relationships to vaccination were possible. Another case showed myocarditis (case 4) while a competing cause of death (pre-existing ischemic heart disease) was found.
A causal relationship to vaccination was possible, but could not be proven beyond doubt. Among the cases showing thrombosis, transverse sinus thrombosis (case 48), ischemic colitis secondary to superior mesenteric artery thrombosis (case 14), and pulmonary artery thromboembolism (case 8, 45) were found to be the causes of death. In cases 48 and 14, the anti-PF4 antibody level could not be measured because of difficulty in serum isolation. A causal relationship to vaccination was possible, but could not be proven beyond doubt.
In case 8, chest discomfort was identified before vaccine administration, and organized thrombi were observed both in the pulmonary artery and deep vein of the left lower extremity. Organized thrombi were also found in the deep vein of the extremities in case 45.’




NANO TECH IS TOXIC!
https://outraged.substack.com/p/mrnas-are-nanoscale-machines-they
https://ianakyildiz.com/about/
In this video Ian F. Akyildiz says:
“And then here Internet of BioNano Things - this are for the health applications. I did also research on that for the last 15 years; Bio nano scale machines, but these are for the injecting into the body and always monitoring the health problems.
And that is also going really well with these Covid vaccines. It’s going that direction. These mRNAs are nothing than small scale nanoscale machines. They are programed and they are injected.
And then Internet of Nano scale Things.
Those would be a part of 7 G and beyond.”
https://outraged.substack.com/p/lies-to-inject-people-with-nanotoxins
It was always about instilling, inhaling and injecting people with this nano poison:
https://www.ledgerinsights.com/nanotechnology-blockchain-covid-19-immunity-passports/
http://web.archive.org/web/20200419005140/https://www.ledgerinsights.com/nanotechnology-blockchain-covid-19-immunity-passports/
US firm combines nanotechnology, blockchain for COVID-19 immunity passports
April 15, 2020
by Ledger Insights
U.S.-based quantum dot producer Quantum Materials Corp (QMC) announced its blockchain-based QDX HealthID for transparency in disease testing and immunization for infectious diseases. The goal is to ensure the authenticity of health data and support individuals to re-join the workforce quickly.
Quantum dots are nanoparticles made up of semiconductor materials that emit different colors when illuminated by light. This color depends on their size and the way they were manufactured. QMC has developed a track and trace solution using quantum dots and blockchain to verify the origin of products and counterfeiting.
The authentication solution is combined with QDX HealthID for monitoring and tracking the outbreaks of diseases, such as the COVID-19. The solution authenticates individuals being tested, the persons administering the test, and the test kits.
In simpler terms, QDX HealthID ensures that testing data is secure and not tampered with. Currently, health reports and medical certificates are being issued on paper, which makes them easy to forge.
https://www.ledgerinsights.com/blockchain-covid-19-health-certificate-ticketing-healthngo/
May 5, 2020
by Ledger Insights
While there is the mention of health certificate, the company does not clarify what details it will entail, such as a test result or a vaccination confirmation. The COVID Credentials Initiative (CCI), whose participants include Evernym, ID2020, uPort, Microsoft, ConsenSys, and several others, is working on blockchain-based immunity passports.
https://dailycoin.com/nano-nano-could-lead-mastercards-crypto-development/
Nano: Tiny, Yet So Powerful
Nano (NANO) formerly known as RaiBlockd is a decentralized and open-source cryptocurrency based on the direct acyclic graph (DAG) architecture. Using a block-lattice data structure, it operates without third parties.
So many people have died, suffered, been maimed and murdered by THIS NANO-POISON
Everyone should be insisting on an autopsy... this would reveal to the world what sinister mechanisms come packaged in the Pfizer formula... the reason it’s is still going into arms.. is because they managed to stop autopsy’s on most sudden deaths.