IMPORTANT to not forget the Autopsy Histopathologic Cardiac Findings in 2 Adolescents Following the Second COVID-19 Vaccine Dose; 2 teenage boys who died shortly following administration of the second
Pfizer-BioNTech COVID-19 mRNA technology based vaccine dose; most closely resembling a catecholamine-mediated stress (toxic) cardiomyopathy.
SOURCE:
https://pubmed.ncbi.nlm.nih.gov/35157759/
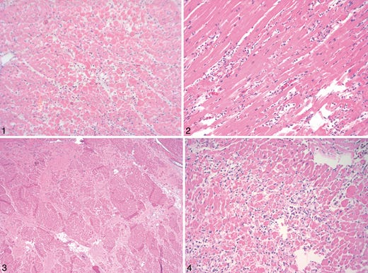
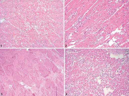
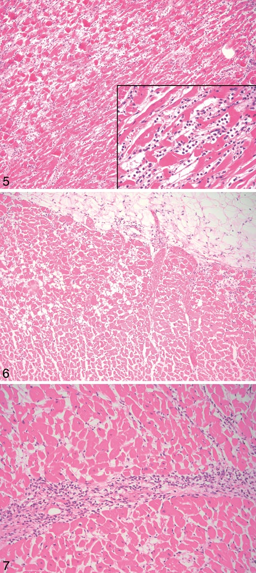
‘Objective.—: To examine the autopsy microscopic cardiac findings in adolescent deaths that occurred shortly following administration of the second Pfizer-BioNTech COVID-19 dose to determine if the myocarditis described in these instances has the typical histopathology of myocarditis.
Design.—: Clinical and autopsy investigation of 2 teenage boys who died shortly following administration of the second Pfizer-BioNTech COVID-19 dose.
Results.—: The microscopic examination revealed features resembling a catecholamine-induced injury, not typical myocarditis pathology.
Conclusions.—: The myocardial injury seen in these postvaccine hearts is different from typical myocarditis and has an appearance most closely resembling a catecholamine-mediated stress (toxic) cardiomyopathy. Understanding that these instances are different from typical myocarditis and that cytokine storm has a known feedback loop with catecholamines may help guide screening and therapy.’






![Case B, heart: hypereosinophilic myocytes, contraction band necrosis, and coagulative myocytolysis. Inset: the infiltrate is predominantly neutrophilic (hematoxylin-eosin, original magnifications ×100 and ×400 [inset]). Case B, heart: hypereosinophilic myocytes, contraction band necrosis, and coagulative myocytolysis. Inset: the infiltrate is predominantly neutrophilic (hematoxylin-eosin, original magnifications ×100 and ×400 [inset]).](https://substackcdn.com/image/fetch/$s_!W9PE!,w_1456,c_limit,f_auto,q_auto:good,fl_progressive:steep/https%3A%2F%2Fsubstack-post-media.s3.amazonaws.com%2Fpublic%2Fimages%2F4cf4b457-5551-45b3-b4e7-7c900fa2c76a_520x1165.png)

MURDER IS AGAINST THE LAW LIKE THE USURPER joe biden regime
These Techno medical findings are terribly obtuse for most of us.
Have you interviewed Attorneys to start real legal attacks?
Let us know?