mRNA technology based COVID gene injections by Malone, Kariko, Weissman were deadly and they knew it! Malone was silent too long, people died! He must answer questions of his role in mRNA technology
patents, what he knew as to harms, as to mRNA-LNPs complex, as to reverse transcription, about dissemination systemically; Makis lists 25 tragic cases of kids 5-12 years harmed by COVID shots
The reality is that children always had a near statistical zero risk of severe outcome or death if exposed to COVID virus and no healthy child should have gotten these shots, not one! It is criminal what was done with these shots and those involved must be accountable. I mean both mRNA and DNA delivery platforms.
Makis rolls the harms up in 25 cases that are shocking:
VIDEO: 12 year old Maddie De Garay (Cincinnati, OH) was vaccine injured and permanently disabled less than 24hr after her 2nd Pfizer dose on Jan.20, 2021 (click here)
============================================================================
Fishers, IN - 10 year old girl Arianna developed CRPS (Complex Regional Pain Syndrome) within 24 hours of COVID-19 booster shot in Jan.2023 (click here)
Hong Kong - 11 year old girl Siu Yik-Tung developed myocarditis 3 weeks after 2nd Pfizer mRNA jab, spent a month in Children’s Hospital Intensive Care Unit, July 2022 (click here)(click here)
Her aunt said that Siu's organs have recovered and are functioning again, but the nerves for her legs will take more time to recover and she will be wheelchair-bound until her muscles gain strength again.
Thailand - 7 year old girl Pimpakarn Khotphakdi developed dark purple spots on her skin and began oozing blood from her eyes and skin 2 weeks after Pfizer COVID-19 mRNA vaccine, April 2022 (click here)
Bongara, Peru - 8 year old boy Richard Jeferson Bustamante Bautista got Stevens-Johnson Syndrome after 2nd Pfizer mRNA dose on Feb.21, 2022 (click here)
Sao Paolo, Brazil - 10 year old Luisa Petenuci suffered cardiac arrest 12 hours after her 1st Pfizer COVID-19 mRNA vaccine on Jan.18, 2022 (click here)
Minnesota - 6 year old boy Milo Edberg developed myocarditis after Pfizer COVID-19 vaccine on Dec.10, 2021. He remained intubated for a month and a half (click here)
Pennsylvania - 8 year old Harper Gewin had a stroke and brain hemorrhaging 7 days following Pfizer mRNA jab (Nov.2021) (click here)
Publications
Thailand - 12 year old girl developed “Toxic epidermal necrolysis” after 1st dose of Pfizer COVID-19 mRNA jab, published November 2021 (click here)
San Diego, CA - 12 year old boy developed “Eosinophilic cellulitis” one day after 2nd dose of Pfizer COVID-19 mRNA jab, Jan.2022 (click here)
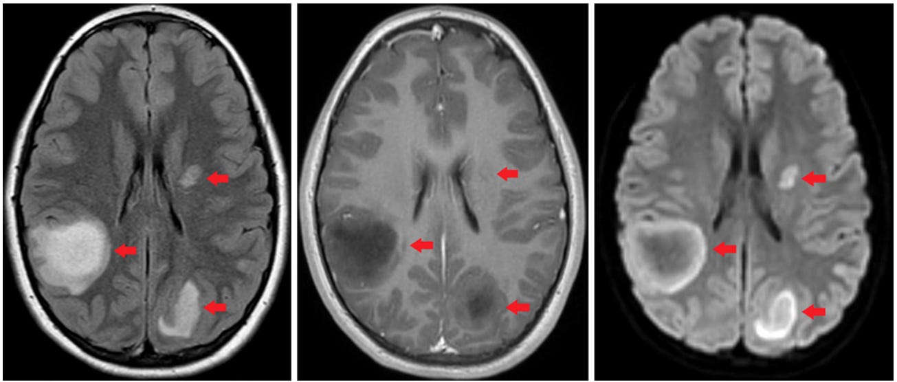
Florida - 10 year old girl developed Acute disseminated encephalomyelitis with autoimmune brain lesions after 2nd Pfizer COVID-19 mRNA jab, July 2022 (click here)
China - 11 year old girl developed MIS-C after inactivated COVID-19 vaccine, Feb.2023 (click here)
Saudi Arabia - 12 year old boy developed multisystem inflammatory syndrome (MIS-C) following 2 doses of Moderna mRNA vaccine, March 2022 (click here)
South Korea - 12 year old boy developed acute kidney injury after 2nd dose of Pfizer COVID-19 mRNA vaccine, Jan.2022 (click here)
VAERS ID: 2187799 - 10 yo boy (New Jersey) (March 2022)
44 days after 1st dose of Pfizer, he starts having what has become an almost daily “episode” that would be described as a panic attack with hallucinations. He becomes very disoriented, stating that images appear and words sound very fast to him. After episode is over, he is able to articulate what he experienced. This is completely out of character for him, he is very social, good student and athlete.
VAERS ID: 2163473 - 8 yo girl (Virginia) (Feb 2022)
40 days after 1st Pfizer dose, girl changed mentally. Appears to have seizure but it’s not a seizure. She cannot respond during these episodes and began to see and hear things that aren’t there. Happens over and over, has 5 emergency visits.
A month later she is still undiagnosed and having memory loss, regression, delirium in waves. Unaware of age, year of birth, season, counting 1 to 10. Before 1st Pfizer dose, she had no neurological troubles, she was a straight A student who was bright and happy. She has lost memory and regressed. Woke up a different person who became unable to be touched or consoled. Permanently disabled.
VAERS ID: 2018697 - 9 yo boy (New Jersey) (Dec 2021)
One day after 1st Pfizer dose, he had a severe headache for 2 days. Could barely speak, not really talking and not really responding. Had hallucinations and Alice in Wonderland Syndrome. Everything looked small. Has not recovered.













Heard this morning that a man who was already having cancer treatment due to the post-lung transplant surgery (that doctors KNOW will cause cancer) got turned away from Duke for his treatment appt because he didn’t get his FOURTH booster. He went and got it. I just shook my head in anger. Then heard someone dealing with blood clots. Just pure demonic how doctors and health facilities are STILL lying about these death jabs.
Hi Paul,
I admire your tenacity.
You seem particularly obsessed with Robert Malone of late (the past 2-3 months). It certainly looks to me like he has more prior knowledge of the US bioweapons R&D than he’s divulged. Fair enough.
But he’s taken a powerful and open stance against the Biopharma narrative, against the UN / WHO and the “Health” Authorities of Western nations, for which he’s been pilloried.
Is he really your most important enemy? Don’t the two of you have a common cause for good?
Wouldn’t it be worthwhile (and sensible) to invite him over for a chat, rather than attacking him via your Substack?
Thank you!
Sincerely,
Kurt Arner
Switzerland