Remember this powerful Thai study (Mansanguan et al.) in adolescents as to the devastation of the COVID mRNA technology injections in Thai teens: 'Cardiovascular Manifestation of the Pfizer BNT162b2
mRNA COVID-19 Vaccine in Adolescents'; n=301, most common cardiovascular signs, symptoms: tachycardia (7.6%) shortness of breath (6.6%), palpitation (4.3%), chest pain (4.3%) hypertension (3.9%)
https://pubmed.ncbi.nlm.nih.gov/36006288/
‘cohort study enrolled students aged 13-18 years from two schools, who received the second dose of the Pfizer BNT162b2 mRNA COVID-19 vaccine.
Data including demographics, symptoms, vital signs, ECG, echocardiography, and cardiac enzymes were collected at baseline, Day 3, Day 7, and Day 14 (optional) using case record forms.
enrolled 314 participants; of these, 13 participants were lost to follow-up, leaving 301 participants for analysis.
The most common cardiovascular signs and symptoms were tachycardia (7.64%), shortness of breath (6.64%), palpitation (4.32%), chest pain (4.32%), and hypertension (3.99%). One participant could have more than one sign and/or symptom. Seven participants (2.33%) exhibited at least one elevated cardiac biomarker or positive lab assessments.
Cardiovascular manifestations were found in 29.24% of patients, ranging from tachycardia or palpitation to myopericarditis.
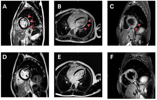
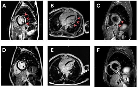
Figure 2. (A–F) cMRI illustrating LGE in a patient with subacute myopericarditis at the time of diagnosis (A–C) and 5 months post-diagnosis (D–F). cMRI, cardiac magnetic resonance imaging; LGE, late gadolinium enhancement.
Myopericarditis was confirmed in one patient after vaccination.
Two patients had suspected pericarditis and four patients had suspected subclinical myocarditis.
In conclusion, Cardiovascular manifestation in adolescents after Pfizer BNT162b2 mRNA COVID-19 vaccination included tachycardia, palpitation, and myopericarditis.’






Whatever happened to the Thai Kings daughter and her vax injury. That story disappeared.
Do the math, folks. The study showed 2.3% having "subclinical myocarditis" or worse. If it's the same in the US, where 200 million people got the shots, that's 4.6 million people with permanent heart damage.