Now MASSACHUSETTS says it's being hit by wave of 'white lung' pneumonia in children as Ohio county issues similar warning - after China and Europe saw surge in cases and hospitalizations; AGAIN I ask:
is this SYSTEMIC? is this worldwide surge in this white pneumonia due to roughly similar COVID lockdown lunacy that weakened immune systems? Did the mRNA COVID vaccines do this? Malone? Bourla? Sahin?
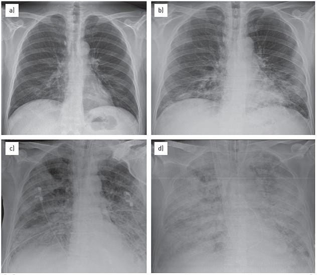
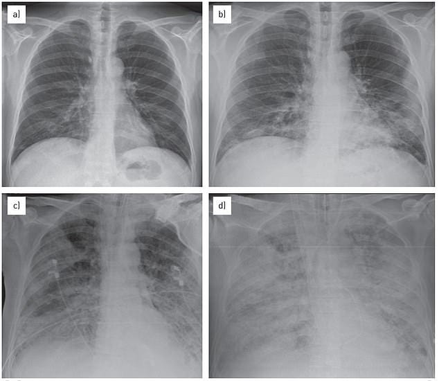
The above image pictures the lungs during 'white lung syndrome' or acute respiratory distress syndrome, which is diagnosed via the white spots or opaque areas appearing in the lungs. The above patient was a 57-year-old man in 2014
I ask, what is the link to RSV virus, so an initial bout? Is there a link? What is the role of mycoplasma pneumoniae? Is this a seasonal epidemic? Is this a quartet confluence of some Covid virus e.g. EG.5, HV.1 etc., seasonal flu and RSV as well as mycoplasma bacterial pneumonia? Did the lockdowns prevent proper training of the emerging novice infant and child immune systems (innate antibodies that must be exposed to pathogen and trained as maternal antibodies wane at 6 months as well as natural killer (NK) cells) leaving them vulnerable now as we opened up fully this year, this winter season for the first time? Did the Malone, Kariko, Weissman, Bourla, Bancel, Sahin et al. mRNA technology and subsequent mRNA vaccine do this? Have they screwed (subverted) a portion of our vaccinated kids for life? What is happening here? Should we inquire form them?
Is the immune system of an unvaccinated child the PRIZE, the gold standard today? To be protected and under no circumstance give your healthy child the COVID vaccine which we argued would have played a role in something like this?
My prior substacks:
BREAKING! White lung pneumonia in children in America? Serious? Is this due to the damage done by the mRNA technology COVID vaccine (Weissman, Malone, Kariko, Bourla, Bancel Sahin etc.) & lockdowns?
https://www.dailymail.co.uk/health/article-12809869/us-child-pneumonia-outbreak-extremely-high-cases.html See my prior substack. Some say this is nothing, it is fear-porn, bullshit as usual yet can we discount this given reports now in US after reports in Europe? We were discounting the ones in China given China’s duplicity and games and lies all along.
POISON Pill? Is the Malone, Weissman, Kariko, Bourla, Bancel, Sahin mRNA technology & vaccine work now about to harm our kids? Mystery wave of child pneumonia hits America; Ohio hotspot! White lung?
Have these COVID vaccines done that much damage to immune systems of our children globally? P53, BRACA 1, 2, Toll-like receptors, immune tolerance IgG4 class switch immune tolerance? To cause a global shut down and compromise of normally functional immune systems, subverted the training of innate antibodies and natural killer cells so children are defen…




This will continue to happen until you all stand up together and fight back.
"Catastrophic Contagion" and John Hopkin's October 2022 table top excersice for SEERS - Severe Epidemic Enterovirus Respiratory Syndrome targeting children. Same playbook, people, and org.s as for Event 201 and Monkeypox. https://catastrophiccontagion.centerforhealthsecurity.org/videos