Can there be Fatal Multisystem Inflammatory Syndrome (MISC) in Adults after Weissman, Kariko, Malone et al. mRNA technology based COVID Vaccination injection? Yes! e.g. a fatal case of multisystem
inflammatory syndrome in an adult with onset 22 days after a second dose of mRNA coronavirus disease vaccine. This fatal case of MIS-A occurred after full COVID-19 vaccination
SOURCE:
https://wwwnc.cdc.gov/eid/article/27/11/21-1612_article
‘The Patient
The patient was a healthcare worker in his 30s with no notable medical history. In December 2020, he experienced mild COVID-19–like illness symptoms, including fatigue and loss of taste and smell. He did not undergo testing for SARS-CoV-2 at that time and was unaware of the need for isolation. Six days after onset of COVID-19–like symptoms, and when fully recovered, the patient received the first dose of Pfizer/BioNTech (https://www.pfizer.comExternal Link) mRNA COVID-19 vaccine. He received the second dose 20 days later. After the second dose, he reported fatigue and malaise, which resolved within 2 days.
Twenty-two days after receiving the second dose of the COVID-19 vaccine, he had onset of new fever, malaise, headache, and odynophagia. He was examined by an outpatient medical provider. Diagnostic testing was notable for a negative COVID-19 test by reverse transcription PCR (RT-PCR), negative rapid influenza antigen, and negative rapid antigen detection for group A Streptococcus. Four days later, the patient visited an emergency department because of worsening symptoms. Assessment of vital signs revealed a temperature of 37.2°C, heart rate 113 beats/min, and blood pressure of 117/66 mmHg. Physical examination identified right-sided cervical lymphadenopathy, marked bilateral conjunctival erythema, and a faint papular rash on the pelvis and left flank. Laboratory testing revealed a peripheral-blood leukocyte count of 11,000 cells/μL, 93.5% segmented neutrophils, and thrombocytopenia with a platelet count of 110,000/μL (Table). Portable chest radiograph results were without notable findings.
On hospital day 2, the patient remained febrile and tachycardic (heart rate 90–135 beats/min) and had a blood pressure of 92/56 mmHg. Diagnostic evaluation revealed a negative SARS-CoV-2 RT-PCR test but a positive serologic test for SARS-CoV-2 nucleocapsid IgG. Additional diagnostic tests were conducted (Table). Inflammatory markers showed elevated C-reactive protein at 284.0 mg/L, serum ferritin at 1434.9 ng/mL, and troponin-I at 18.0 ng/mL. On the evening of hospital day 2, the patient received 75 g of intravenous immune globulin (IVIG).
Early morning on hospital day 3, the patient had an acute change in mental status, including confusion and global aphasia. An emergent computed tomography scan of the head was negative for cerebrovascular accident and showed normal brain parenchyma and no evidence of acute infarction, mass, or hemorrhage. On completion of the scan, the patient was found nonresponsive and without a pulse. He underwent multiple rounds of advanced cardiac life support, resulting in return of spontaneous circulation. A chest radiograph showed an enlarged cardiac silhouette, and an echocardiogram showed severe biventricular dysfunction, severe global hypokinesis of the left ventricle, and left ventricular ejection fraction of 20%. The patient received a second dose of IVIg and intravenous steroids and extracorporeal membrane oxygenation support was initiated. On hospital day 4, severe multisystem organ failure continued to progress. The patient died on hospital day 4.
We reviewed the patient’s medical history and clinical chart. We assessed serum samples collected during the hospital course before and after IVIg, and we determined endpoint titers to SARS-CoV-2 nucleocapsid (IgM and IgG) and spike receptor binding domain with neutralization functions against spike protein (6,7). The endpoint titer was a modified protocol based on Stadlbauer et al. (8). We completed an autopsy and sent formalin-fixed, paraffin-embedded tissues to CDC. Microscopic examination of lung, airways, pulmonary lymph node, liver, heart, spleen, kidneys and stomach tissue samples was performed; LT-Gram stain was performed on lungs and heart. An RT-PCR assay for SARS-CoV-2 was performed on RNA extracted from formalin-fixed, paraffin-embedded tissues from lungs, airways, and heart by methods previously published (9). This activity was reviewed by CDC and was conducted consistent with applicable federal law and CDC policy.
Serum antibody results drawn before IVIg infusion were negative for SARS-CoV-2 IgM but positive for IgG. Serum results had a high titer of anti-spike receptor binding domain antibody both before and after IVIg (1:75,000) compared with a naturally infected SARS-CoV-2–positive control (1:4,000). In addition, the pre-IVIG sample serum results demonstrated neutralizing function.
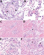
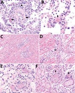
Figure. Histopathologic findings in a fatal case of multisystem inflammatory syndrome in adult after natural severe acute respiratory syndrome coronavirus 2 infection and coronavirus disease vaccination, Tennessee, USA, 2021. A) Lung...
Notable findings on gross internal autopsy examination included a 525-mL pericardial effusion and cardiac enlargement, as well as a 5-L hemoperitoneum and a 20-cm diameter perisplenic hematoma. Microscopic examination of the lungs showed diffuse congestion, increased intra-alveolar macrophages, multifocal hemorrhage, capillaritis, and microthrombi throughout (Figure, panels A, B). We observed no viral inclusions or diffuse alveolar damage. Trachea and bronchi showed mild tracheobronchitis. Sections of the heart showed multifocal myocarditis with mixed inflammatory infiltrate, myocyte necrosis, and numerous microthrombi. We also identified disseminated microvascular thrombosis in the heart, stomach, kidneys, and liver (Figure, panels C–F). Gram stain results were negative on lung and heart tissue. SARS-CoV-2 RT-PCR was negative on lungs, trachea, bronchi, and heart.
Top
Conclusions
This fatal case of MIS-A occurred after full COVID-19 vaccination in a patient with prior natural SARS-CoV-2 infection suspected 6 weeks before MIS-A symptom onset. Serum antibody results before IVIg infusion indicated the patient was previously infected with SARS-CoV-2 and was vaccinated with a COVID-19 vaccine. Antibodies to the nucleocapsid protein are the most sensitive target for serologic diagnosis for natural infection (P.D. Burbelo et al., unpub. data, https://doi.org/10.1101/2020.04.20.20071423External Link), and these antibodies are not present following COVID-19 vaccination alone. In addition, clinical history was compatible with natural infection beginning 6 days before the first mRNA vaccine dose and consistent with negative SARS-CoV-2 nucleocapsid IgM on testing during hospitalization.
The patient demonstrated similar clinical findings to previously reported MIS-A cases, including fever for 3 consecutive days, laboratory evidence of inflammation, neurologic and mucocutaneous clinical findings, and severe cardiac illness that included systemic hypotension progressing to cardiogenic shock (1,5). These criteria meet the CDC case definition for MIS-A, as well as a definitive case at level 1 of diagnostic certainty by the Brighton collaboration case definition for MIS-A and MIS-C (10). In addition, the histopathologic findings of capillaritis and multiorgan microvascular thrombosis in association with clinical symptoms and laboratory findings are compatible with MIS-A (1,11). Substantial blood loss on gross examination may represent a diffuse intravascular coagulation–type picture in which diffuse microthrombosis depleted platelets and clotting factors. The etiology for clinical deterioration was likely multifactorial, although considerable cardiac compromise in the setting of high fluid volumes and intraperitoneal hemorrhage may have contributed to multiorgan failure
Whether mRNA COVID-19 vaccination contributed to MIS-A onset in this case is unclear, and future epidemiologic studies are needed to understand whether an association exists. The immunopathology leading to hyperinflammation causing MIS-A after SARS-CoV-2 infection remains unknown, although postinfection immune dysregulation is consistent among reported cases. Notably, MIS-A has not been reported among adult participants of COVID-19 vaccine trials (10), and no direct evidence exists to support vaccine alone as the primary etiology in this case. This article further emphasizes the importance of COVID-19 prevention, for which infection prevention strategies and vaccination remain our greatest defense.’



It is perfect the way you named the injections that caused this. The first important step in establishing the proper frame in which to discuss the damage, was avoiding to misname the injections as 'vaccinations'. Everyone has adopted that to a satisfactory extent. The next very important and useful step is to adopt your description of the injections. We have to stop totally referring to just mere 'injections'. We have to specify that we are talking about the Weissman Kariko Malone-designed injections (or however you specifically named them - once I am typing in this comment box, I cannot without risking to abort my comment, return to the article for details, on the small device that I am typing on). In any case it is a brilliant move on your part -I find- to include the inventors, and thereby to transport also the aspect of intent, without making any direct accusations. Letting the "correlative" relation between inventors, product, and results speak for itself. Just perfect. That's exactly how we urgently need to proceed on each and every other aspect of those large web constructions of semantic lies and illogicalities, too. Use circumscriptions that at all times, in all cases, transport also the commentary or assessment of what is being discussed. Reclaiming the power of language for revealing untruthfulnesses and dishonesties wherever they proliferate. Great! 👍
Is there no end to the adverse effects caused by the Weissman, Kariko, Malone et al. mRNA technology based COVID pseudovaccine gene therapy injection? I suspect that the surface has barely been scratched and we have seen only the tip of the iceberg of the global harms to humanity caused by the Weissman, Kariko and Maloneet al.mRNA injection. The Weissman, Kariko and Malone et al. Injection needs to be banned and withdrawn immediately.