NATTOKINASE used to detoxify from the deleterious pathogenic effect of the COVID mRNA-DNA synthetic SPIKE protein (as well as spike from the virus itself); research evidence
Dr. Peter McCullough discusses Nattokinase, I share his potent substack on this important issue & present some research evidence of the potential utility at this time as the science matures & develops
You can find The Wellness Company (TWC) at:
www.TWC.health
https://www.twc.health/collections/covid19/products/long-haul-formula?ref=Paul
The focus in this substack (as a means to detoxify against the COVID spike protein derived from the COVID gene injection vaccine (or virus)) is on nattokinase which is an enzyme that is produced by fermenting soybeans with bacteria Bacillus subtilis var. natto and nattokinase has been available as an oral supplement. It is important always to discuss any medication or even supplement with your doctor or you seek a specialist in holistic or naturopathic medicine who is experienced with the safety profile of nattokinase in a range of applications.
One key issue is that we can extrapolate the evidence on the COVID virus itself to the synthetic spike protein induced by the COVID mRNA gene injection (in terms of therapeutic activity and adverse effects). Both are highly pathological, especially to the myocardium of the heart. Yet the spike protein as the toxic business end of the virus and vaccine is devastating across the human body. The issue is that we may be facing pathology due to the spike protein from both the virus and the vaccine yet we/people are very concerned about the synthetic spike induced by the vaccine. Especially given that it’s effects long-term were never studied.
People are worried, concerned, for they want to rid themselves of the spike protein be it from the virus itself and alarmingly, via the spike protein induced by the mRNA-DNA COVID vaccine. They are suffering and have ill effects e.g. blood clotting etc. and some very dramatic and toxic, and even deadly. They are sick now and crying out for help now and asking for it, and they want empiric treatment via some means to support themselves especially immunologically, as they heal, while also recognizing that the science and evidence is developing, maturing, and becoming definitive. In the interest of time.
Can we wait 10, 15, 20 years for the appropriate comparative effectiveness research trial to be carried out while people are in need to day and suffering? This is the same situation we faced with early treatment for COVID. We never said each therapeutic was perfect but in those with signals of benefit where the risk was basically non-existent and it was not cost prohibitive and was available, then via combined sequenced overlapping therapeutics, we could re-purpose them to treat COVID early (or prevent) until the science was mounted, completed, and definitive.
People are damaged now and want the spike protein post vaccine dissolved from within them, and are calling for help even while the necessary pharmacokinetic and pharmacodynamic studies are developed and completed. No doubt, they will accept empiric agents that are deemed safe, and even re-purposed. They just want help and the low risk of side effects justifies the use, when compared to the potential high benefits in terms of symptom reduction and potential dissolution of the foreign and persisting spike protein itself.
We know that the spike protein post vaccine (and the mRNA and spike subunits) persist in the blood and tissue and this is having a terrible impact on persons. See my prior substack:
Thus if the spike protein remains in the blood (also the mRNA and spike protein sub-units), then this could be the cause of the terrible symptoms people experience and even what we call ‘LONG COVID’. We have no evidence how and exactly when the spike protein (mRNA etc.) will be dissolved within the body and this was not studied by the vaccine makers nor mandated by the US regulator, FDA. This was a failure. The sad reality is that the spike protein is causing serious challenges to those who got COVID yet importantly, to those who took the gene injection. Thus is it any wonder that they want the spike protein out of their body? I do not think so. I think it is an imperative and especially so for the vaccine injured.
We know that the vaccine makers created synthetic mRNA (swapping out uracil with methylated pseudo-uracil and placing molecular caps at the ends of the strand) and the lipid-nano particle complex (ionizable cationic lipids, PEG etc.) to withstand being recognized, to evade the immune system, to be stable, and to have longevity. “The synthetic mRNA carried on lipid nanoparticles appears to be resistant to breakdown by human ribonucleases by design so the product would be long-lasting and produce the protein product of interest for a considerable time period”. (Dr. Peter McCullough). Usually mRNA is used ‘one-off’ in our cells (to translate for peptides, proteins etc.) and it is degraded and passes as waste, but not so with the COVID gene injection synthetic mRNA. They (and consequent spike) are designed for evasion and longevity, durability.
At this time, several studies deserve mention at this time:
i)Degradative Effect of Nattokinase on Spike Protein of SARS-CoV-2
SOURCE:
https://www.ncbi.nlm.nih.gov/pmc/articles/PMC9458005/
ii)Nattokinase decreases plasma levels of fibrinogen, factor VII, and factor VIII in human subjects
SOURCE:
https://pubmed.ncbi.nlm.nih.gov/19358933/
iii)Nattokinase: An Oral Antithrombotic Agent for the Prevention of Cardiovascular Disease
SOURCE:
https://pubmed.ncbi.nlm.nih.gov/28264497/
iv)Natto extract, a Japanese fermented soybean food, directly inhibits viral infections including SARS-CoV-2 in vitro
SOURCE:
https://pubmed.ncbi.nlm.nih.gov/34271432/
v)Effects of Nattokinase on Blood Pressure: A Randomized, Controlled Trial
SOURCE:
https://www.nature.com/articles/hr2008203
Dr. McCullough gave us some background : ‘Nato It degrades fibrinogen, factor VII, cytokines, and factor VIII and has been studied for its cardiovascular benefits. Out of all the available therapies I have used in my practice and among all the proposed detoxification agents, I believe nattokinase and related peptides hold the greatest promise for patients at this time.’
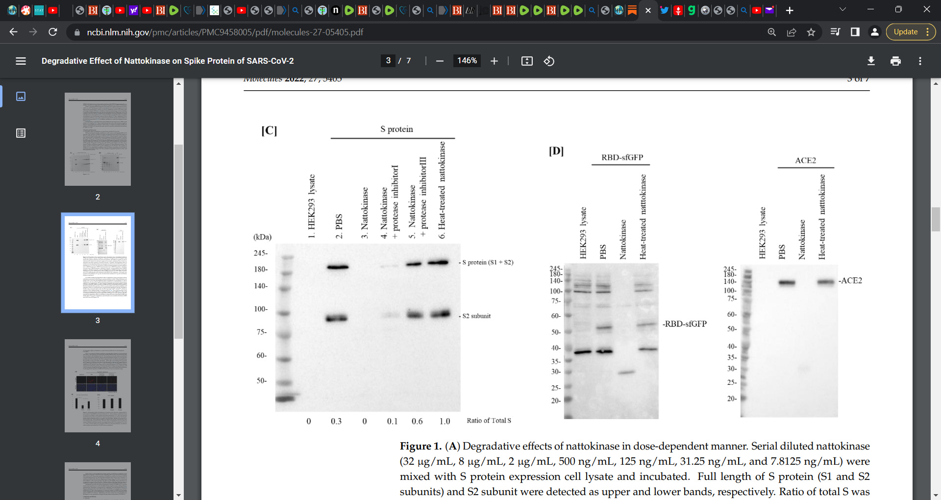
When Tanikawa et al. (study i) above) looked at the degradative Effect of Nattokinase on Spike Protein of SARS-CoV-2, they found that when cell lysates transfected with Spike (S) protein were ‘incubated with nattokinase, the S protein was degraded in a dose- and time-dependent manner’…and ‘S protein on the cell surface was degraded when nattokinase was added to the culture medium.’ One may reasonably extrapolate this to someone who is in receipt of the COVID vaccine. Researchers concluded that ‘nattokinase exhibits potential for the inhibition of SARS-CoV-2 infection via S protein degradation.’
Dr. McCullough is reasonable by declaring ‘several years of market use as an over-the-counter supplement suggests nattokinase is safe’. No doubt one must consult with their doctor around issues of ‘excessive bleeding and cautions with concurrent antiplatelet and anticoagulant drugs.’ This is an important consideration.
The key issue is that of ‘time’ while patients suffer today. The enzyme is available today empirically and is safe yet we ensure the proper comparative large scale studies are conducted.
The reality as mentioned is that the COVID gene injections (so called vaccines) induces the very toxic dangerous part of the COVID virus that causes severe and often fatal disease sequelae, this being the spike protein, as part of the immune response. The spike protein and especially the S1 sub-unit of the spike protein is highly pathological and is more than likely involved in the often crippling post-vaccination syndrome e.g. LONG COVID. The spike protein is devastatingly toxic (references here, here, here).
The argument is that all of these so called vaccine platforms result in the spike protein which is incredibly thrombogenic (clot forming) and thus involved with blood clotting cascades. The reality is that the spike protein of the COVID virus has substantial sequence homology (molecular mimicry) with many endogenous human proteins. This could result in autoantibodies and the priming of the immune system towards auto-inflammatory and autoimmune disease (References here, here, here, here).
In sum, spike protein (due to the COVID vaccine or virus) damage post vaccine (and virus) is becoming increasingly concerning and people are begging for solutions. They are scared and in many instances extremely distraught as to the spike circulating within them. As a result, some form of a spike detoxifier (empiric) is needed. This detoxifier can potentially help manage the amount of spike protein in your body (especially spike induced by the Pfizer and Moderna gene platform).
The Wellness Company (TWC) has gone on to develop such a low risk spike protein detoxifier even as the science further develops and matures and becomes declarative. Integral to the formulation is nattokinase as mentioned above and seen below on the product label that you can get at TWC:
Note: we suggest that those already on blood thinning medication to consult with your doctor before taking any nattokinase as nattokinase is a natural blood thinner; that pregnant women and nursing women do not take this and also, persons under 18. We are currently developing a spike support for those under 18.
If you wish to read further on the detoxifier that includes nattokinase, see this link:
https://www.twc.health/collections/covid19/products/long-haul-formula?ref=Paul
I am proud to announce my affiliation with The Wellness Company. My dear and esteemed colleagues Dr. Peter McCullough and Dr. Harvey Risch as well as Dr. Richard Amerling and Dr. Heather Gessling are also with The Wellness Company which provides telemedicine services for long-haul COVID, vaccine injury, and medical exemptions along with great all natural supplements and products that are fully aligned with our values. We are talking about scientifically researched supplements designed by leading physicians like Dr Peter McCullough. This support for The Wellness Company stems from the sub-optimal medical care and response that we experienced throughout the pandemic. It became apparent that there are many glaring gaps in our healthcare system and people were not properly treated. Thus, the pivot by us to support The Wellness Company. Take a stand against a broken healthcare delivery system and purchase a membership with the The Wellness Company, which directly funds our fight against medical tyranny. Click here The Wellness Company for more information.
See Dr. McCulloughs’s substack on this topic that pushed me to study on it and write:













fermented foods= healthy gut= healthy immune system 💝
First, please tell your friend, Dr. McCollough, who I appreciate, don't get me wrong but if he's promoting alternative approaches to medicine such as nattokinase and Xlear (his last post on substack), then he MUST take off from his protocol that is seen in the graphic on his website the dangerous molnupiravir (that you posted about) and for that matter paxlovid too (do we know what's in paxlovid? what are the true ingredients? what are the true ingredients in all or most of the drugs people are taking?). More importantly, in Dr. McCollough, wrote in his last post about Xlear that molnupiravir is a failed product. He needs to stop promoting it on his website then. Please have him look at that. One can't have it both ways and be trusted.
Second, this isn't knew. For those who are into holistic approaches, we've known about systemic enzymes and how they help with fibrins. So, that tells me that alternative approaches can work for those who have been traditionally against them. Hmmm....