Nattokinase's (NATO) Degradative Effect on Spike Protein of COVID virus & we may infer strongly on NATO's effects on the spike induced by the mRNA technology gene vaccine
Findings support the notion that the inhibition of SARS-CoV-2 infection by natto extract was due to S protein degradation by nattokinase.
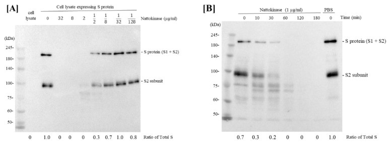
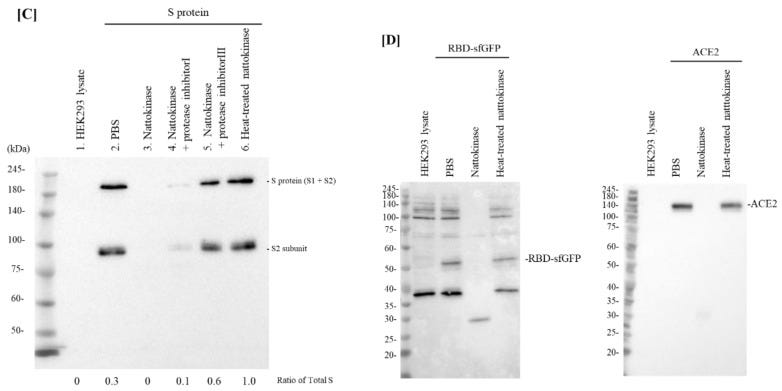
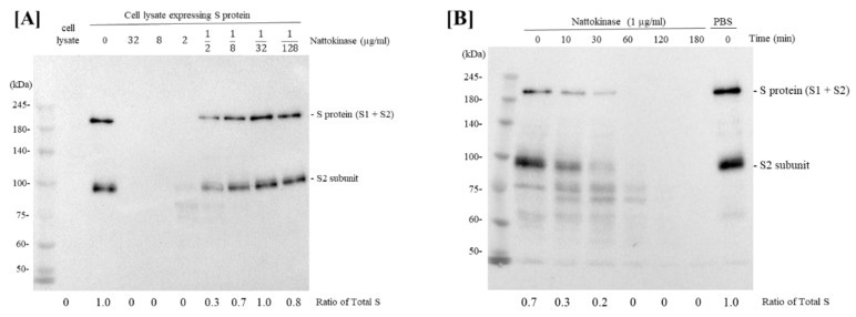
‘SARS-CoV-2 has a spike protein (S protein), and cleavage of the S protein is essential for viral entry.
Nattokinase is produced by Bacillus subtilis var. natto and is beneficial to human health.
Examined the effect of nattokinase on the S protein of SARS-CoV-2.
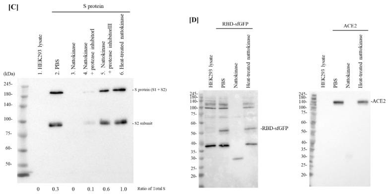
When cell lysates transfected with S protein were incubated with nattokinase, the S protein was degraded in a dose- and time-dependent manner.
Immunofluorescence analysis showed that S protein on the cell surface was degraded when nattokinase was added to the culture medium.
Findings suggest that nattokinase exhibits potential for the inhibition of SARS-CoV-2 infection via S protein degradation.’
SOURCE:





Thanks to all my medical colleagues for recommending nattokinase last summer to help my friend who almost died from cytokine storm. Along with the other protocol remedies, it was the final agent that helped turn her around. The microcirculatory clotting likely was reversed by the nattokinase. She literally felt better after the first dose and made a full recovery. God Bless to all.
Well, a well known doctor is “frankly horrified” on Twitter that nattokinase is recommended for detoxing spike.
Yet, today he states that spike kills brain cells! Go figure…